Porcelain Veneers in Chicago

Transform Your Smile with Custom Cosmetic Veneers at Minty Dental Boutique

A beautiful, confident smile is possible with high-quality porcelain veneers. At Minty Dental Boutique in Chicago’s Forest Glen neighborhood, Dr. Tamara Marjan provides personalized veneer treatments that address chips, stains, discoloration, uneven shapes, and small gaps. Patients visit us from Sauganash, Edgebrook, Jefferson Park, and across Northwest Chicago for natural-looking, long-lasting cosmetic results.

Porcelain veneers are ideal for anyone seeking a brighter, more uniform smile without orthodontics or extensive dental work. If you have been hiding your smile or feel self-conscious about the way your teeth look, veneers may be the right solution.

Request a consultation to explore how veneers can improve your confidence and overall smile appearance.

Who Porcelain Veneers Are For

Porcelain veneers may be an excellent option if you want to correct:

  • Chips, cracks, or worn edges
  • Deep stains and discoloration that whitening cannot fix
  • Uneven or misshapen teeth
  • Mild crowding or small spaces between teeth
  • Teeth that appear too short
  • Previous dental work that looks outdated
  • A desire for a more symmetrical or brighter smile

Veneers are often chosen by patients looking for a smile makeover and by those wanting long-term, natural-looking cosmetic improvement.

Signs You May Be a Good Candidate

  • Your teeth and gums are healthy
  • You have enough enamel for veneer bonding
  • You want to improve tooth shape or color
  • You prefer a long-lasting cosmetic solution
  • Your bite is stable without severe crowding
  • You do not clench or grind heavily, or you are willing to wear a night guard

At your consultation, Dr. Marjan will conduct a complete smile evaluation and help you determine whether porcelain veneers are the best option.

Step-by-Step Veneer Procedure

Patients appreciate knowing exactly what to expect. Here is how the veneer process works at Minty Dental Boutique.

1. Cosmetic Consultation and Smile Design

Dr. Marjan will discuss your goals, evaluate your enamel, take digital X-rays and photos, and review aesthetic preferences such as shape, length, and shade. This ensures your veneers match your facial features and smile style.

2. Tooth Preparation

A thin amount of enamel is smoothed to create space for the veneer. This step ensures the final result looks natural rather than bulky.

3. Impressions or Digital Scan

A precise mold or scan is taken to send to our dental lab. Each veneer is custom-made for your smile based on your selected color, translucency, and design.

4. Temporary Veneers

While your permanent veneers are being crafted, you will wear temporary ones that give you a preview of your new smile.

5. Veneer Placement and Bonding

At the final appointment, Dr. Marjan checks fit, shape, and shade. Once you approve the look, each veneer is bonded securely to the tooth surface. Minor adjustments are made for comfort and symmetry.

6. Follow-Up and Maintenance

A short follow-up visit ensures your bite feels comfortable and your new veneers are functioning properly.

Benefits of Porcelain Veneers

  • Highly natural appearance due to translucent porcelain
  • Stain resistance for long-lasting brightness
  • Minimal alteration to natural tooth structure
  • Custom-made to match your facial features
  • Can be placed in pairs or as part of a full smile makeover
  • Immediate improvement in confidence
  • Durable material built to last for many years with proper care

Porcelain veneers are one of the most predictable cosmetic treatments for patients who want a complete transformation without extensive orthodontics or crowns.

Risks and Considerations

Risks and Considerations

As with any dental procedure, there are factors to consider:

  • Minor enamel reduction is required
  • Veneers are not reversible
  • Veneers can chip if exposed to heavy grinding or biting hard objects
  • Temporary sensitivity may occur after placement
  • Severe bite issues may require orthodontics first

Dr. Marjan will review all considerations at your consultation so you can make an informed, comfortable decision.

Benefits of Porcelain Veneers

  • Highly natural appearance due to translucent porcelain
  • Stain resistance for long-lasting brightness
  • Minimal alteration to natural tooth structure
  • Custom-made to match your facial features
  • Can be placed in pairs or as part of a full smile makeover
  • Immediate improvement in confidence
  • Durable material built to last for many years with proper care

Porcelain veneers are one of the most predictable cosmetic treatments for patients who want a complete transformation without extensive orthodontics or crowns.

Risks and Considerations

As with any dental procedure, there are factors to consider:

  • Minor enamel reduction is required
  • Veneers are not reversible
  • Veneers can chip if exposed to heavy grinding or biting hard objects
  • Temporary sensitivity may occur after placement
  • Severe bite issues may require orthodontics first

Dr. Marjan will review all considerations at your consultation so you can make an informed, comfortable decision.

Recovery & Aftercare

Most patients experience little to no downtime. You can return to daily routines immediately.

For the first few days:

  • Avoid very hard or sticky foods
  • Brush gently around temporary veneers
  • Use a soft-bristled toothbrush
  • Take recommended sensitivity relief products if needed

Long-term care includes brushing twice daily, flossing daily, and maintaining regular cleanings. Patients who clench or grind may be advised to use a custom night guard to protect their veneers.

When Veneers May Not Be Recommended

Porcelain veneers may not be appropriate for certain situations, including:

  • Active gum disease
  • Severe enamel loss
  • Large fractures that require crowns instead
  • Significant misalignment better treated with Invisalign
  • Heavy nighttime grinding without willingness to wear a night guard
  • Patients seeking a completely reversible treatment

If veneers are not the best option, Dr. Marjan will discuss alternatives such as composite bonding, whitening, or orthodontic treatment.

Cost of Porcelain Veneers in Chicago

Veneers are a custom cosmetic treatment, so pricing depends on how many teeth are being treated and the level of design requested.

  • Typical Chicago pricing: $1,500 – $2,500 
  • Minty Dental Boutique pricing: $950 per tooth ( with Free Consultation )

Insurance & Payment Options


Insurance generally does not cover veneers because they are cosmetic. At Minty Dental Boutique, we keep treatment accessible with:

  • Most major PPO dental plans accepted (for supporting exams or X-rays)

  • CareCredit financing

  • Cherry monthly payment plans

At your consultation, you will receive a clear, itemized estimate.

Cost of Porcelain Veneers in Chicago

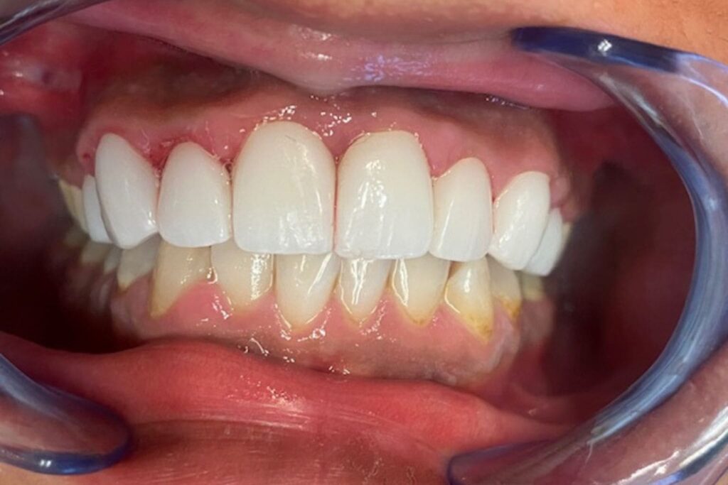
Before and After Veneers

Porcelain Veneers Expertise from Dr. Tamara Marjan

Dr. Tamara Marjan provides comprehensive cosmetic and restorative dentistry with a strong focus on natural-looking aesthetic results. She has advanced training in smile design, porcelain veneers, minimally invasive cosmetic procedures, and modern restorative techniques. Dr. Marjan is known for her meticulous approach, attention to detail, and ability to create veneers that complement a patient’s facial features and overall dental health. She is committed to helping patients achieve healthy, confident smiles through personalized treatment planning and high-quality care.

Frequently Asked Questions About Veneers

Whether you’re looking for more information about dentistry services, we hope this section will help answer any questions you may have.

Veneers are long lasting, but they may need replacement after several years. Because a small amount of enamel is removed, the process is not reversible.

Veneers are long lasting, but they may need replacement after several years. Because a small amount of enamel is removed, the process is not reversible.

Most patients feel only mild sensitivity during the preparation phase. The placement process is comfortable with local anesthesia.

With proper care, porcelain veneers commonly last ten to fifteen years or longer.

This depends on your smile width and cosmetic goals. Many patients choose two to ten veneers to enhance the entire smile zone.

Yes. Veneers can correct small gaps, mild misalignment, and uneven edges. Significant alignment issues may require orthodontics first.

Porcelain veneers are typically considered cosmetic and are not covered. Financing is available.

Veneers cannot be whitened, but natural teeth can be whitened before veneer placement to create a brighter foundation.

Schedule Your Periodontal Consultation Today

If you are ready to improve your smile, schedule your cosmetic consultation at Minty Dental Boutique. We proudly serve Forest Glen, Sauganash, Edgebrook, Jefferson Park, and surrounding Northwest Chicago communities. Call (773) 286-5286 today!

Ask about our New Patient Special: X-rays, exam, regular cleaning, and a complimentary whitening pen for $99.

Scroll to Top
Call today for a free consultation